LIÊN TIẾP CA THỦNG TẠNG RỖNG Ở NGƯỜI CAO TUỔI - CẢNH BÁO NGUY CƠ BỎ SÓT TRIỆU CHỨNG BAN ĐẦU
(Cập nhật: 19:14 15/04/2026)
Trong thời gian ngắn đầu tháng 4/2026, Bệnh viện Đa khoa khu vực Cẩm Phả đã liên tiếp tiếp nhận và xử trí cấp cứu các trường hợp người cao tuổi bị viêm phúc mạc do thủng tạng rỗng. Thực tế này đang đặt ra cảnh báo về nguy cơ bỏ sót triệu chứng ban đầu trong cộng đồng, đặc biệt ở nhóm người bệnh lớn tuổi.
Gần đây nhất, ngày 06/4/2026, Bệnh viện tiếp nhận bệnh nhân B.T.T (84 tuổi, trú tại phường Cửa Ông, tỉnh Quảng Ninh) trong tình trạng đau bụng, phản ứng thành bụng rõ, có biểu hiện viêm phúc mạc toàn thể. Theo người nhà, trước đó khoảng 2 ngày, bệnh nhân chỉ xuất hiện đau âm ỉ vùng thượng vị và quanh rốn, sau đó lan dần ra toàn bụng. Do triệu chứng không rõ ràng, người bệnh chưa đi khám sớm.
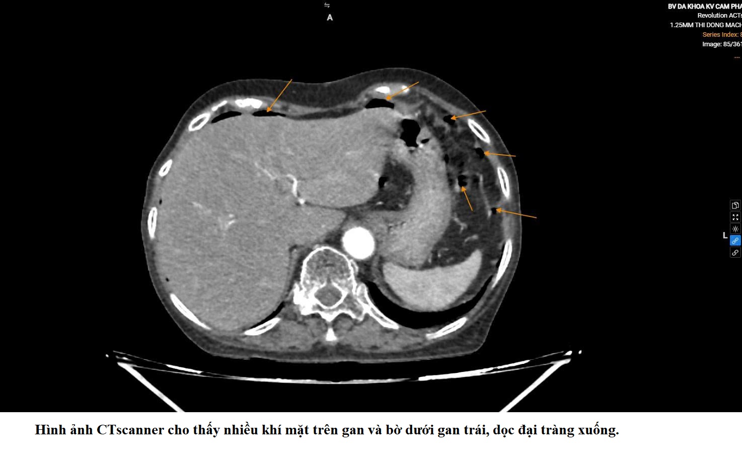
Qua thăm khám và các xét nghiệm cận lâm sàng, các bác sĩ xác định bệnh nhân bị viêm phúc mạc do thủng đại tràng trái và nhanh chóng chỉ định phẫu thuật nội soi cấp cứu. Ê-kíp phẫu thuật gồm BS.CKI.Phan Văn Đức, BS.Vũ Thái Bảo, BS.CKI.Phạm Ngọc Hải (Khoa Ngoại), BS.CKI.Hoàng Thị Ngát (gây mê) đã tiến hành cắt đoạn đại tràng chứa lỗ thủng, dẫn lưu ổ bụng và làm hậu môn nhân tạo. Nhờ được can thiệp kịp thời, tình trạng nhiễm trùng được kiểm soát, người bệnh qua cơn nguy kịch và hiện đang tiếp tục hồi phục.
Đáng chú ý, đây là trường hợp thứ hai trong thời gian ngắn mà Bệnh viện tiếp nhận người cao tuổi bị viêm phúc mạc do thủng đại tràng. Điểm chung của các ca bệnh là đều có biểu hiện ban đầu không điển hình, tiến triển âm thầm, khiến người bệnh và gia đình dễ chủ quan, dẫn đến nhập viện muộn khi tình trạng đã nặng.
Theo các bác sĩ, thủng tạng rỗng là biến chứng nguy hiểm của các bệnh lý tiêu hóa như viêm loét dạ dày - tá tràng, túi thừa đại tràng… Khi xảy ra thủng, dịch tiêu hóa tràn vào ổ bụng gây viêm phúc mạc cấp tính. Nếu không được phát hiện và xử trí kịp thời, người bệnh có thể nhanh chóng rơi vào tình trạng nhiễm trùng nặng, sốc nhiễm khuẩn, thậm chí tử vong.
Ở người cao tuổi, việc chẩn đoán càng gặp nhiều khó khăn do triệu chứng thường không điển hình: Có thể không sốt, không nôn, mức độ đau ban đầu không rõ ràng hoặc dễ nhầm lẫn với các rối loạn tiêu hóa thông thường. Đây chính là nguyên nhân dẫn đến nguy cơ bỏ sót hoặc chậm trễ trong việc phát hiện bệnh.
Trước thực tế trên, các bác sĩ khuyến cáo người dân không nên chủ quan với các biểu hiện đau bụng, đặc biệt ở người cao tuổi. Khi có dấu hiệu đau kéo dài, đau tăng dần hoặc lan rộng, cần đưa người bệnh đến cơ sở y tế để được thăm khám kịp thời. Đồng thời, những người có tiền sử bệnh lý đường tiêu hóa cần được theo dõi định kỳ và tuân thủ điều trị.
Việc nhận biết sớm các dấu hiệu bất thường và chủ động thăm khám không chỉ giúp giảm thiểu biến chứng nguy hiểm mà còn góp phần nâng cao hiệu quả công tác chăm sóc sức khỏe người cao tuổi trong cộng đồng.
Tin tức liên quan
- LỜI CẢM ƠN TỪ NGƯỜI BỆNH
- BỆNH VIỆN ĐA KHOA KHU VỰC CẨM PHẢ NỘI SOI LẤY SỎI NIỆU QUẢN KÍCH THƯỚC 2CM, NGĂN NGỪA BIẾN CHỨNG NGUY HIỂM
- GIÀNH LẠI SỰ SỐNG TỪ CA THỦNG ĐẠI TRÀNG HIẾM GẶP: DẤU ẤN PHỐI HỢP LIÊN CHUYÊN KHOA TẠI BỆNH VIỆN ĐKKV CẨM PHẢ
- GIÀNH LẠI SỰ SỐNG TRONG “GIỜ VÀNG”: Dấu ấn từ một ca cấp cứu xuất huyết tiêu hóa nặng tại Bệnh viện ĐKKV Cẩm Phả.





