GIÀNH LẠI SỰ SỐNG TỪ CA THỦNG ĐẠI TRÀNG HIẾM GẶP: DẤU ẤN PHỐI HỢP LIÊN CHUYÊN KHOA TẠI BỆNH VIỆN ĐKKV CẨM PHẢ
(Cập nhật: 15:05 10/04/2026)
CA BỆNH CÓ BỆNH CẢNH PHỨC TẠP, KHÓ CHẨN ĐOÁN
Một bệnh nhân nữ 79 tuổi (trú tại Quảng Ninh) đã được cứu sống kịp thời tại Bệnh viện Đa khoa khu vực Cẩm Phả sau khi rơi vào tình trạng thủng đại tràng sigma gây viêm phúc mạc - một cấp cứu ngoại khoa nặng và có nguy cơ tử vong cao nếu chậm trễ.
Ngày 07/4/2026, bệnh nhân T.T.M (79 tuổi) nhập viện trong tình trạng mệt mỏi, đau bụng hạ vị kèm sốt và biểu hiện nhiễm trùng. Đáng lưu ý, các triệu chứng ban đầu không điển hình, dễ nhầm lẫn với các bệnh lý tiêu hóa hoặc tiết niệu thường gặp ở người cao tuổi.
Tại khoa Nội - Lão khoa, qua thăm khám và theo dõi sát diễn biến lâm sàng, các bác sĩ nhận thấy: Tình trạng nhiễm trùng không cải thiện sau điều trị ban đầu; đau bụng có xu hướng tăng dần, diễn biến bất thường.
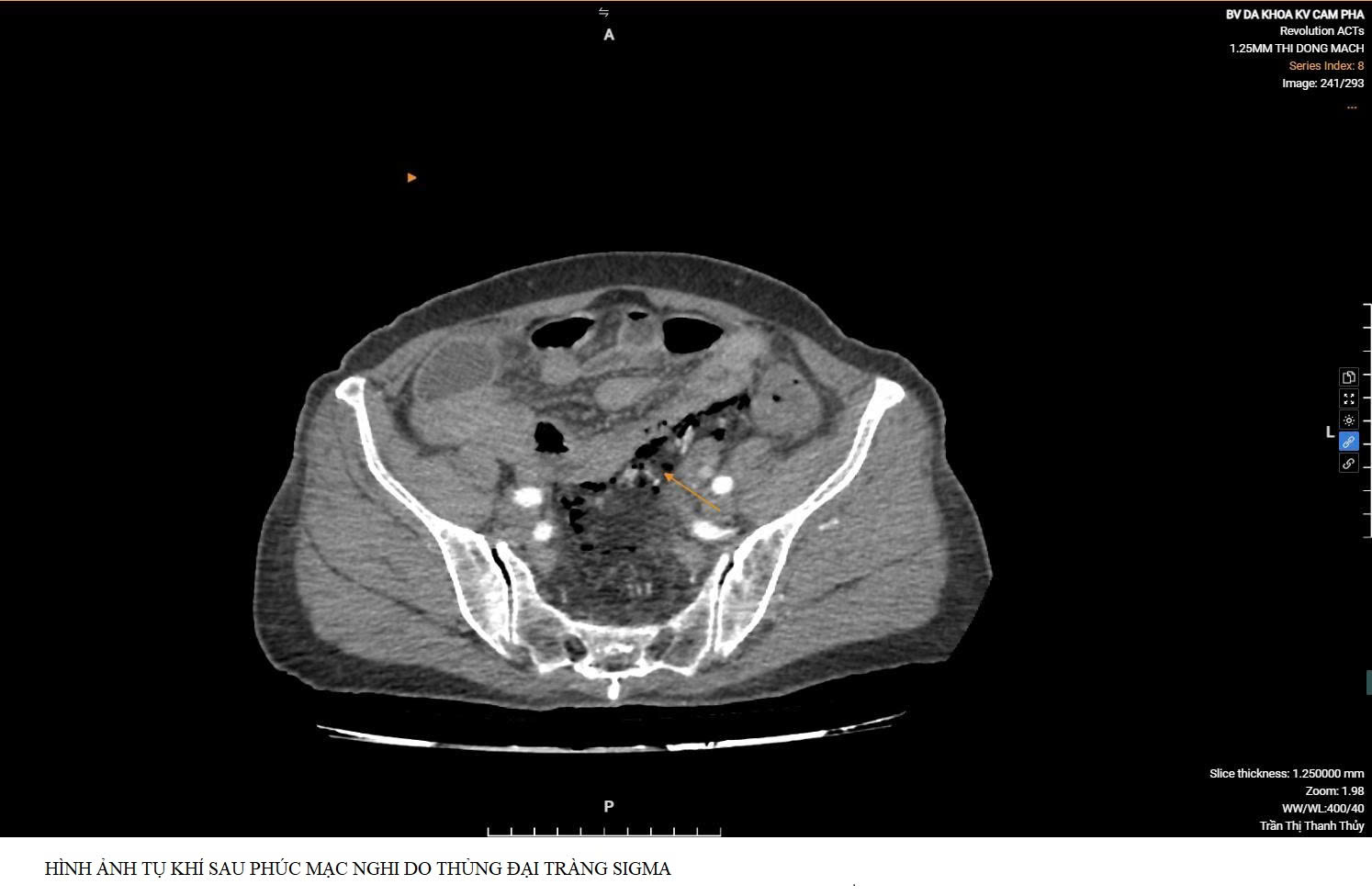
Nhận định đây có thể là một bệnh lý ổ bụng tiềm ẩn diễn biến nặng, bệnh nhân được chỉ định chụp cắt lớp vi tính ổ bụng cấp cứu. Kết quả ghi nhận: Hình ảnh tụ khí sau phúc mạc - dấu hiệu gợi ý thủng đại tràng sigma. Đây là một dấu hiệu kín đáo trên lâm sàng nhưng rất có giá trị trong chẩn đoán, giúp định hướng kịp thời xử trí tiếp theo.

Trên cơ sở kết quả chẩn đoán hình ảnh, bệnh nhân được hội chẩn liên chuyên khoa khẩn cấp giữa các chuyên khoa: Nội - Ngoại - Chẩn đoán hình ảnh - Hồi sức tích cực.
Sau khi đánh giá toàn diện, các chuyên khoa thống nhất chẩn đoán: Thủng đại tràng sigma biến chứng viêm phúc mạc - tình trạng cấp cứu ngoại khoa nguy hiểm, đe dọa tính mạng nếu không xử trí kịp thời.

Ngay lập tức, kíp Ngoại khoa đã triển khai phẫu thuật cấp cứu: Mổ mở cắt đoạn đại tràng bị thủng, làm hậu môn nhân tạo, làm sạch ổ bụng, kiểm soát nguồn nhiễm khuẩn. Ca mổ được tiến hành khẩn trương, chính xác, đảm bảo kiểm soát tổn thương và hạn chế tối đa nguy cơ lan rộng nhiễm trùng.
Sau phẫu thuật, bệnh nhân được chuyển đến khoa Hồi sức tích cực để tiếp tục điều trị: Kháng sinh phổ rộng, nuôi dưỡng tĩnh mạch, theo dõi sát các chỉ số sinh tồn và biến chứng. Nhờ được can thiệp kịp thời và chăm sóc hồi sức tích cực, bệnh nhân đã qua cơn nguy kịch, tình trạng dần ổn định.
Ca bệnh là minh chứng rõ nét cho vai trò then chốt của phối hợp liên chuyên khoa trong tiếp cận, chẩn đoán và xử trí các bệnh lý phức tạp, đặc biệt trong những tình huống triệu chứng không điển hình, dễ bỏ sót. Việc kết hợp chặt chẽ giữa lâm sàng và cận lâm sàng hiện đại đã giúp rút ngắn thời gian chẩn đoán, đưa ra quyết định điều trị kịp thời, qua đó tăng cơ hội sống cho người bệnh trong những “giờ vàng” quyết định.
KHUYẾN CÁO TỪ BÁC SĨ
Các bác sĩ khuyến cáo người dân, đặc biệt là người cao tuổi: Khi xuất hiện các dấu hiệu như đau bụng, rối loạn tiêu hóa, sụt cân không rõ nguyên nhân, sốt dai dẳng... cần đến ngay cơ sở y tế để được thăm khám và chẩn đoán kịp thời.
Việc chủ quan hoặc tự điều trị tại nhà có thể khiến bệnh tiến triển âm thầm, dẫn đến biến chứng nặng, thậm chí đe dọa tính mạng.
KHẲNG ĐỊNH NĂNG LỰC CỦA BỆNH VIỆN ĐKKV CẨM PHẢ
Thành công của ca bệnh tiếp tục khẳng định:
- Năng lực chuyên môn vững vàng của đội ngũ y bác sĩ;
- Khả năng phối hợp liên chuyên khoa nhanh chóng, hiệu quả;
- Trình độ làm chủ các kỹ thuật trong cấp cứu và điều trị bệnh lý phức tạp.
Qua đó, người bệnh hoàn toàn có thể tin tưởng tiếp cận dịch vụ y tế chất lượng cao ngay tại Bệnh viện Đa khoa khu vực Cẩm Phả, hạn chế chuyển tuyến trong nhiều trường hợp.
Tin tức liên quan
- GIÀNH LẠI SỰ SỐNG TRONG “GIỜ VÀNG”: Dấu ấn từ một ca cấp cứu xuất huyết tiêu hóa nặng tại Bệnh viện ĐKKV Cẩm Phả.
- PHẤN KHỞI NGÀY TRỞ LẠI - NGƯỜI BỆNH AN TÂM CHẠY THẬN TẠI NƠI QUEN THUỘC
- HƯỞNG ỨNG NGÀY SỨC KHỎE TOÀN DÂN 7/4: BỆNH VIỆN ĐKKV CẨM PHẢ TRIỂN KHAI TƯ VẤN DINH DƯỠNG VÀ GIỮ GÌN VỆ SINH AN TOÀN THỰC PHẨM CHO NGƯỜI BỆNH
- THÔNG BÁO: 1/4/2026 ĐƠN NGUYÊN THẬN NHÂN TẠO CHÍNH THỨC HOẠT ĐỘNG TRỞ LẠI





