-
THÔNG BÁO LỊCH NGHỈ LỄ DỊP LỄ GIỖ TỔ HÙNG VƯƠNG VÀ 30/4 - 01/5 NĂM 2026
(Cập nhật: Lúc 12:42, Ngày 19 tháng 04 năm 2026)
-
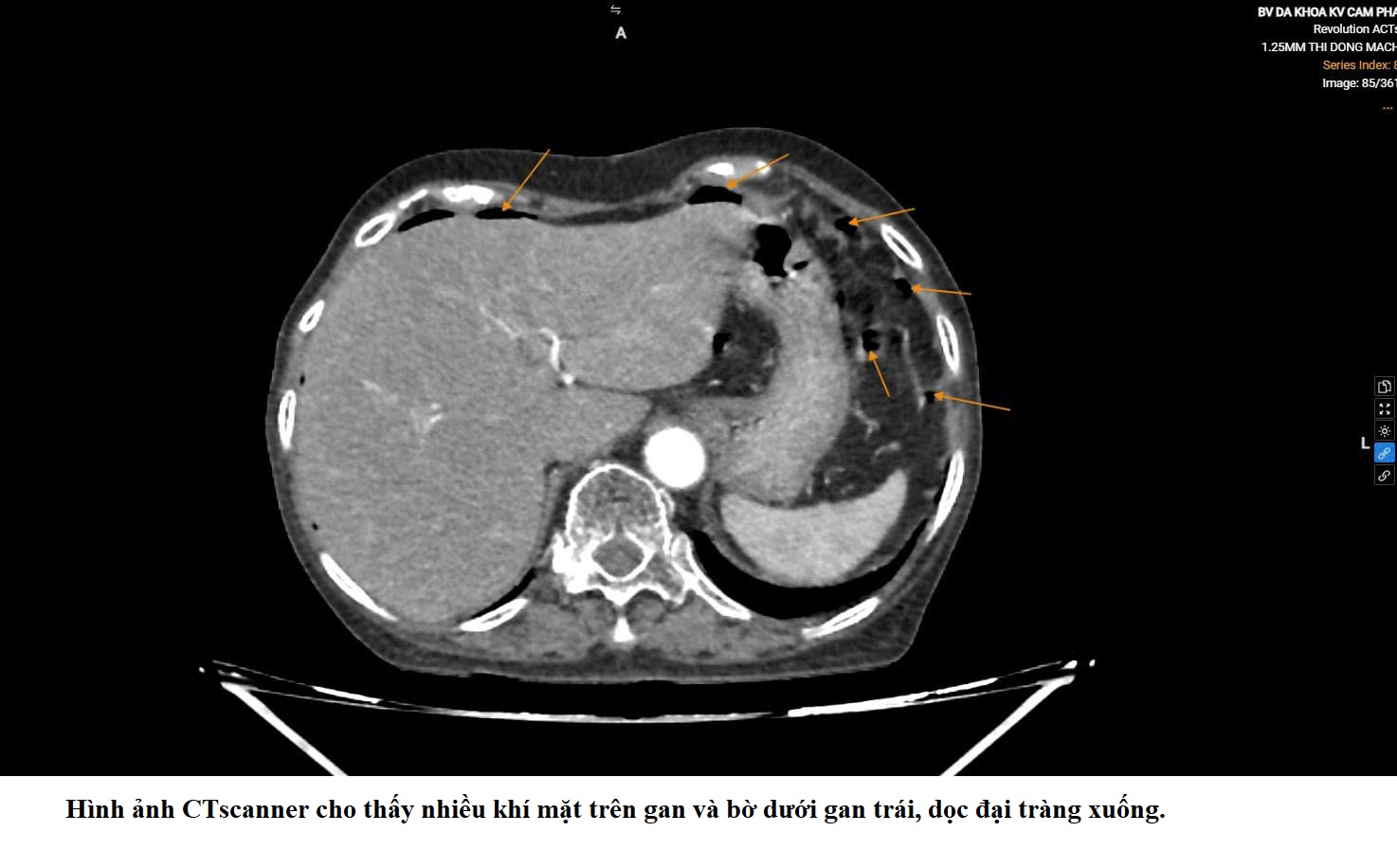
LIÊN TIẾP CA THỦNG TẠNG RỖNG Ở NGƯỜI CAO TUỔI - CẢNH BÁO NGUY CƠ BỎ SÓT TRIỆU CHỨNG BAN ĐẦU
(Cập nhật: Lúc 19:14, Ngày 15 tháng 04 năm 2026)
-
BỆNH VIỆN ĐA KHOA KHU VỰC CẨM PHẢ NỘI SOI LẤY SỎI NIỆU QUẢN KÍCH THƯỚC 2CM, NGĂN NGỪA BIẾN CHỨNG NGUY HIỂM
(Cập nhật: Lúc 02:10, Ngày 13 tháng 04 năm 2026)
-
GIÀNH LẠI SỰ SỐNG TỪ CA THỦNG ĐẠI TRÀNG HIẾM GẶP: DẤU ẤN PHỐI HỢP LIÊN CHUYÊN KHOA TẠI BỆNH VIỆN ĐKKV CẨM PHẢ
(Cập nhật: Lúc 15:05, Ngày 10 tháng 04 năm 2026)
-
GIÀNH LẠI SỰ SỐNG TRONG “GIỜ VÀNG”: Dấu ấn từ một ca cấp cứu xuất huyết tiêu hóa nặng tại Bệnh viện ĐKKV Cẩm Phả.
(Cập nhật: Lúc 08:34, Ngày 10 tháng 04 năm 2026)
-
PHẤN KHỞI NGÀY TRỞ LẠI - NGƯỜI BỆNH AN TÂM CHẠY THẬN TẠI NƠI QUEN THUỘC
(Cập nhật: Lúc 07:33, Ngày 03 tháng 04 năm 2026)
-
HƯỞNG ỨNG NGÀY SỨC KHỎE TOÀN DÂN 7/4: BỆNH VIỆN ĐKKV CẨM PHẢ TRIỂN KHAI TƯ VẤN DINH DƯỠNG VÀ GIỮ GÌN VỆ SINH AN TOÀN THỰC PHẨM CHO NGƯỜI BỆNH
(Cập nhật: Lúc 13:47, Ngày 03 tháng 04 năm 2026)
-
THÔNG BÁO: 1/4/2026 ĐƠN NGUYÊN THẬN NHÂN TẠO CHÍNH THỨC HOẠT ĐỘNG TRỞ LẠI
(Cập nhật: Lúc 10:04, Ngày 29 tháng 03 năm 2026)
-
BỆNH VIỆN ĐA KHOA KHU VỰC CẨM PHẢ ĐẨY MẠNH HIỆN ĐẠI HÓA, LIÊN TỤC ĐƯA TRANG THIẾT BỊ Y TẾ THẾ HỆ MỚI VÀO HOẠT ĐỘNG
(Cập nhật: Lúc 20:57, Ngày 22 tháng 03 năm 2026)
-
BỆNH VIỆN ĐA KHOA KHU VỰC CẨM PHẢ: KỶ NIỆM 10 NĂM NGÀY CÔNG TÁC XÃ HỘI VIỆT NAM (25/3/2016 - 25/3/2026). Lan tỏa giá trị nhân văn từ công tác xã hội trong bệnh viện.
(Cập nhật: Lúc 10:55, Ngày 23 tháng 03 năm 2026)





